
Unlocking Advanced Dental Imaging with Panorex Technology
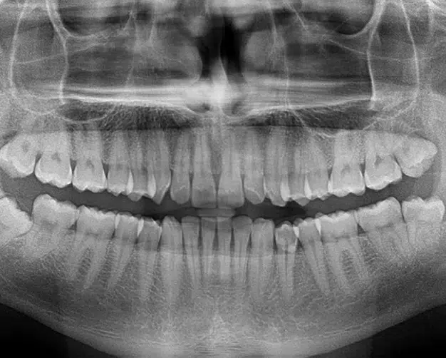
A panorex stands out as an impressive imaging tool, capable of revealing details and structures beyond the scope of a standard x-ray. During the procedure, you'll be seated with your chin resting on a small ledge, while the machine rotates around your head, capturing a complete 360-degree view of your teeth, head, sinuses, and bones.
This comprehensive view of your head's structure provides invaluable insights for the dentist. It enables us to detect potential issues and ensure optimal functionality. The panorex can identify various structural problems, infections, asymmetry, and more, offering a wealth of diagnostic information.